Triệu chứng viêm mào tinh hoàn cấp
- Đau thường là triệu chứng xuất hiện đầu tiên, cơn đau vùng bìu khởi phát cấp tính, đau tăng dần, có thể lan lên vùng bẹn, hạ vị hoặc hố chậu.
- Bìu sưng, tăng kích thước một bên hoặc có thể sưng to toàn bộ vùng bìu. Bìu có thể nề đỏ, nóng, rát trong một số trường hợp.
- Triệu chứng toàn thân có thể biểu hiện như sốt, ớn lạnh hoặc buồn nôn.
- Ngoài ra có thể xuất hiện các triệu chứng đường tiểu trong những trường hợp viêm mào tinh hoàn thứ phát do nhiễm khuẩn đường tiết niệu như: tiểu buốt, tiểu rắt, tiểu khó, tiểu gấp, chảy dịch niệu đạo…
- Một số triệu chứng liên quan đến tình trạng quan hệ tình dục không an toàn có thể xuất hiện, đặc biệt là có dịch niệu đạo hoặc tấy đỏ vùng miệng sáo thường gặp ở bệnh nhân nghi mắc N. gonorrhoeae hoặc C. trachomatis.
Các xét nghiệm cần làm để chẩn đoán viêm mào tinh hoàn cấp
- Xét nghiệm công thức máu
- Soi tươi và nuôi cấy nước tiểu giữa dòng
- Nhuộm Gram, xanh methylene hoặc tím gentian dịch tiết niệu đạo
- Xét nghiệm PCR dịch tiết niệu đạo
- Nếu viêm mào tinh hoàn nghi ngờ do lao, nên cấy tìm vi khuẩn kháng cồn toan (AFB) trong 3 mẫu nước tiểu đầu vào buổi sáng và dùng phản ứng khuếch đại acid nucleic để tìm DNA của M. tuberculosis. Nếu có thể, dịch tiết tiền liệt tuyến, tinh dịch, dịch tiết từ lỗ rò bìu cũng như dịch màng tinh hoàn và mẫu sinh thiết nên được dùng để soi tươi, nuôi cấy AFB và tiến hành phản ứng khuếch đại acid nucleic.
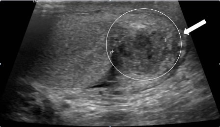
Chẩn đoán hình ảnh
Siêu âm tinh hoàn bao gồm cả siêu âm Doppler mạch là cần thiết để đánh giá tổn thương, đồng thời loại trừ các trường hợp có áp xe, khối u, cũng như xoắn tinh hoàn.

Hình 1. Hình ảnh viêm mào tinh hoàn trên siêu âm Dopler
Chẩn đoán phân biệt
Viêm mào tinh hoàn cấp cần phân biệt các nguyên nhân đau bìu cấp
Bảng 1. Các nguyên nhân gây đau bìu cấp thường gặp
| Chẩn đoán | Triệu chứng điển hình | Lâm sàng | Cận lâm sàng |
| Viêm mào tinh hoàn | Đau bìu diển ra từ từ và sưng bìu từ 1 đến 2 ngày | Sưng tấy hoặc viêm và đau khi sờ nắn mào tinh hoàn ; dấu hiệu Prehn dương tính (đỡ đau khi nâng bìu lên cao); phản xạ cơ bìu bình thường | Xung huyết, nề và tăng lưu lượng máu ở mào tinh hoàn trên siêu âm Doppler màu |
| Xoắn tinh hoàn | Đau bìu một bên khởi phát đột ngột, dữ dội. | Tinh hoàn nằm cao, mất phản xạ cơ bìu bìu, dấu hiệu Prehn âm tính(nâng bìu lên bệnh nhân thấy đau tăng). | Giảm hoặc không thấy lưu lượng máu đến tinh hoàn trên siêu âm Doppler màu |
| Xoắn mấu phụ tinh hoàn | Đau bìu khởi phát đột ngột | Dấu hiệu chấm xanh ở da bìu | Mấu phụ kích thước tăng trên 5mm, hình tròn, tăng lưu lượng máu tới xung quanh mấu phụ trên siêu âm Doppler màu. |
| Thoát vị bẹn nghẹt | Đau bìu khởi phát đột ngột, dữ dội | Sờ thấy khối bìu căng to, đau nhiều ở vị trí ống bẹn. Tiền sử có thoát vị bẹn | Khối thoát vị bẹn, nội dung là các tổ chức từ ổ bụng (ruột, mạc nối, thành bàng quang, ruột thừa…) |
| Ung thư tinh hoàn | Khoảng 15% số trường hợp có đau bìu cấp | Sờ thấy khối chắc, đơn độc xuất phát từ tinh hoàn | Khối u nằm biệt lập tại tinh hoàn trên siêu âm Doppler màu |
Biến chứng
Viêm mào tính hoàn cấp nếu không được điều trị hoặc điều trị kém đáp ứng có thể dẫn tới các biến chứng:
- Áp xe mào tinh hoàn
- Áp xe bìu
- Viêm mào tinh hoàn – tinh hoàn
- Tràn dịch màng tinh hoàn
- Vô sinh
Điều trị viêm mào tinh hoàn cấp
· Điều trị bổ trợ: Người bệnh được yêu cầu nghỉ ngơi tại giường, hạn chế vận động, đi lại nhiều, tắm bằng nước nóng, mặc quần lót chật để nâng bìu, tránh rung lắc, chườm lạnh giúp giảm đau, sưng, giảm khó chịu vùng bìu.
· Sử dụng thuốc: Tùy vào các triệu chứng và cường độ cơn đau mà bác sĩ sẽ chỉ định những loại thuốc khác nhau. Chủ yếu, người bệnh sẽ được chỉ định các loại thuốc giảm đau chống viêm, hoặc kháng sinh phổ rộng, và uống theo liều lượng chỉ định của bác sĩ.
· Thực hiện thủ thuật can thiệp: Dành cho những trường hợp có biến chứng áp xe, viêm mủ mào tinh hoàn. Bác sĩ sẽ cần thực hiện thủ thuật để dẫn lưu cho người bệnh. Phẫu thuật cắt bỏ mào tinh hoàn có thể được xem xét cho những ca bệnh mạn tính, không đáp ứng tất cả phương pháp điều trị.
Cách phòng ngừa viêm mào tinh hoàn cấp
- Quan hệ tình dục an toàn, hạn chế nhiều đối tác, chung thủy một vợ, một chồng.
- Sử dụng bao cao su để hạn chế các bệnh lây truyền qua đường tình dục.
- Vệ sinh thân thể, cơ quan sinh dục sạch sẽ hàng ngày
- Trong trường hợp phải dùng kháng sinh, cần dùng đúng và đủ liều để ngăn ngừa sự gia tăng kháng thuốc và tái phát bệnh.
- Không để sonde tiểu quá lâu, cần rút sonde tiểu sớm có thể
- Can thiệp sớm loại bỏ những tác nhân gây cản trở đường tiểu
- Tiêm phòng đầy đủ các bệnh STDs, quai bị, lao
Xem thêm: PHẦN 1: VIÊM MÀO TINH HOÀN CẤP: ĐỊNH NGHĨA, NGUYÊN NHÂN VÀ CÁC YẾU TỐ NGUY CƠ

