1. Khái niệm
Hội chứng người nam 46,XX là một rối loạn di truyền hiếm gặp về rối loạn phát triển giới tính, công thức nhiễm sắc thể có 2 nhiễm sắc thể giới tính X, nhưng bộ phận sinh dục ngoài đặc trưng của nam giới, từ bình thường đến không điển hình, do thiếu hụt hormone testosterone.
Tần suất mắc hội chứng người nam 46,XX khoảng 1:20.000 trẻ sinh sống.
2. Nguyên nhân, cơ chế bệnh sinh
Nhiễm sắc thể Y chuyển đoạn lên nhiễm sắc thể giới tính X hoặc một nhiễm sắc thể thường ở người bố, phần chuyển đoạn có chứa gen SRY (TDF) biệt hóa tinh hoàn. Nên khi tinh trùng của người bố là 23,X kết hợp với trứng của người mẹ 23,X tạo hợp tử 46,XX nhưng vẫn chứa gen TDF của người nam. Tuy nhiên vì không có đủ gen trên nhiễm sắc thể Y, nên các đặc tính sinh tinh trùng không có, người bệnh bị hiếm muộn.
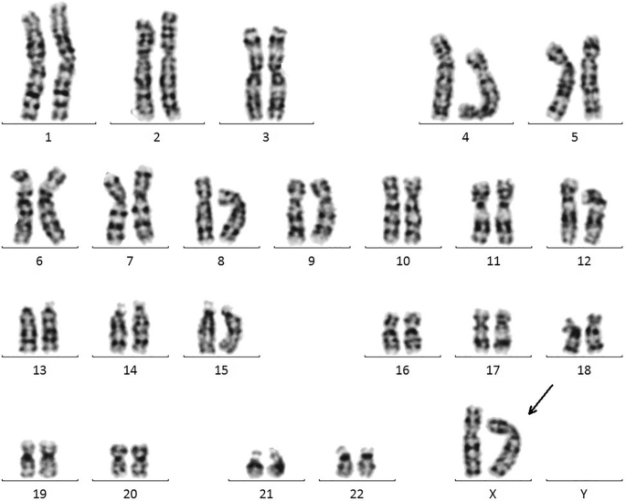
Karyotype người nam 46,XX
3. Chẩn đoán
a. Triệu chứng lâm sàng
Triệu chứng lâm sàng rất đa dạng:
- Người nam có cơ quan sinh dục không điển hình, thường hiếm muộn, biểu hiện cơ quan sinh dục phụ thuộc vào gen biệt hóa tinh hoàn TDF có hay không.
- Các trường hợp có gen TDF (chiếm 80 - 90%) là những người nam có hình dáng bộ phận sinh dục bình thường nhưng sau tuổi dậy thì, thể trạng thấp, dương vật và tinh hoàn nhỏ, vú to, không có tinh trùng.
- 10 - 20% các trường hợp không có gen TDF kèm theo biểu hiện lỗ đái lệch thấp, tinh hoàn lạc chỗ hoặc chưa xuống bìu.
- Các biểu hiện tiếp theo của người nam trưởng thành hay các biến chứng lâu dài là: ham muốn tình dục giảm, suy sinh dục thứ phát, loãng xương, trầm cảm.
b. Cận lâm sàng
Karyotype: 46,XX
c. Chẩn đoán xác định
- Người nam bị suy sinh dục, hiếm muộn có karyotype: 46,XX.
- Siêu âm phần phụ không có tử cung, buồng trứng.
d. Chẩn đoán phân biệt
- Hội chứng suy sinh dục 45,X/46,XY
- Hội chứng Klinefelter 47,XXY
- Lưỡng giới giả nữ 46,XX (46,XX ovotesticular DSD): chiếm khoảng 3 - 10% nhóm rối loạn phát triển giới tính (DSD - Disorder of sex development): bệnh hiếm 1:20.000 trẻ sinh sống, người bệnh vừa có tinh hoàn, vừa có buồng trứng, vì chỉ có khoảng 10 - 20% tế bào có gen TDF của nhiễm sắc thể Y chuyển đoạn lên các nhiễm sắc thể khác trong bộ nhiễm sắc thể khác, tạo thành thể khảm, nên người bệnh là nữ vẫn có kiểu hình của nam.
4. Điều trị
- Phương pháp điều trị chính là liệu pháp thay thế testosterone để điều chỉnh sự mất cân bằng nội tiết tố, ngăn ngừa chứng vú to và sự phát triển của các đặc điểm giới tính thứ phát của nam giới.
- Một số trường hợp nên xem xét việc phẫu thuật cắt bỏ vú có cần thiết hay không.
- Người bệnh cần được hỗ trợ tâm lý và tư vấn di truyền sinh sản.
5. Tiên lượng và phòng bệnh
Các người bệnh nam 46,XX thường bị hiếm muộn, suy sinh dục. Nguy cơ phát triển ung thư thấp.
Xem thêm: Hội chứng Jacob (Hội chứng 47,XYY)

